EBER進口原位雜交試劑盒
EB病毒屬皰疹科病毒,是人類一種特異性嗜淋巴細胞性皰疹病毒。通過密切接觸傳播,侵入門戶通常是咽部的淋巴樣組織,主要侵犯B淋巴細胞。EB病毒的感染廣泛存在,全世界90%以上的人口受過感染,除與鼻咽癌、傳染性單核細胞增多癥有關外,還與Burkitt淋巴瘤、免疫損傷患者的淋巴瘤、霍奇金淋巴瘤、慢性疲勞綜合征、胃癌、某些自身免疫病、α-突觸核蛋白聚集(如:帕金森病)、移植后淋巴組織增生癥等相關。
EBER是EB病毒編碼的小RNA,在EB病毒感染的細胞核中高拷貝存在。根據EBER的序列設計的EBER RNA探針,可以用于石蠟切片,具有較高的特異性和靈敏度,該試劑盒廣泛應用于美國、歐盟等各國。
- CE認證產品,經銷世界各地
- RNA探針,定位準確,敏感性強
- 胃酶消化,穩定可靠
- 無需變性,37℃雜交即可
- 常溫PBS洗滌,簡單易行
- 檢測系統,一步完成
- DAB顯色,永久保存
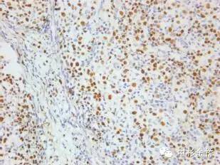
圖為EBER原位雜交染色DBA顯色,蘇木素復染
試劑盒產品編號:ISH-7001

