自主研發優質抗體PD-L1(OR-5E3)上市啦!
癌癥免疫療法獲得了令人振奮的進展,迎來了腫瘤治療的新時代。在過去的二年多來,免疫檢查點抑制劑—腫瘤免疫治療,已經對黑色素瘤、非小細胞肺癌和移行性膀胱癌患者顯示出顯著的生存效益,并且逐步擴展到其他的癌癥適應癥。目前,程序性細胞死亡蛋白1(PD-1)和其配體PD-L1為靶標免疫檢查點抑制劑,就有近千個臨床試驗正在進行,FDA已經為這些產品授予了13個突破性療法認定。
中國國家癌癥中心公布的最新數字顯示,中國惡性腫瘤發病率為270.59 /10萬,死亡率為163.83/10萬。惡性腫瘤發病及死亡第1位的是肺癌,每年約 59.1萬人死于肺癌。肺癌、胃癌、肝癌、結直腸癌、女性乳腺癌、食管癌約占全部腫瘤新發病例的66%;肺癌、肝癌、胃癌、食管癌、結直腸癌是主要的腫瘤死因,約占全部腫瘤死亡病例的70%。
為此,傲銳東源集團公司科研團隊,查找文獻,制定方案,經過近二年的努力,用ICC篩查了近200個克隆,用IHC初篩了50-70個陽性克隆,最后確定了16個重組單克隆的基因序列,經過Elisa、WB和IHC鑒定,選定了OR-5E3克隆,目前正在進行蛋白芯片的檢測。
攻克腫瘤,造福人類,是全球科學家的共同愿望,也是傲銳東源集團公司的奮斗目標,我們一直在努力,為腫瘤精準醫療的發展貢獻力量!
程序化細胞死亡1配體PD-L1又稱作CD274 或B7-H1,是一種I型穿膜蛋白,參與細胞的調節和免疫應答。PD-L1與其在T細胞上的受體PD1相互作用,在免疫應答的負性調控方面發揮重要的作用,該分子具有廣泛的組織表達譜,在一些腫瘤細胞中亦有較高的表達,如乳腺癌、肺癌、腎癌、腸癌、食道癌、卵巢癌、宮頸癌、胰腺癌、黑色素瘤、神經膠質瘤等,與腫瘤的免疫逃逸機制相關。主要用于腫瘤治療的研究。
| 產品編號: | ZM-0659 |
| 產品名稱: | 兔抗人PD-L1單克隆抗體 |
| 克隆號: | OR-5E3 |
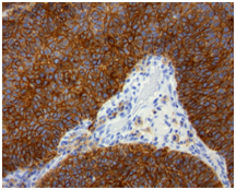
PD-L1抗體在人黑色素瘤中的染色。腫瘤細胞呈強的細胞膜染色。
PD-L1抗體在人胎盤的染色,滋養層呈強細胞膜染色。
PD-L1抗體在人肺癌中的染色。腫瘤細胞呈強的細胞膜染色。

