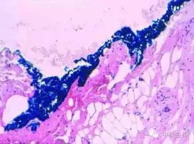
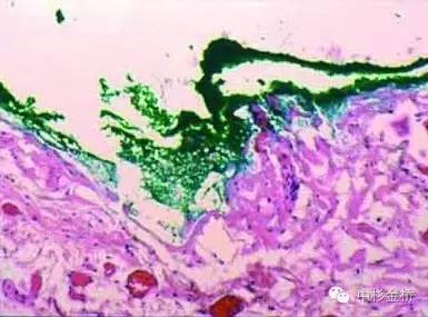
生物色標劑—外科手術切除標本最好的定位工具
手術標本組織邊緣的標記非常重要,尤其是乳腺切除的標本。美國乳腺病協會規定:對于所有懷疑或已知是惡性病變的乳腺病患者在進行乳腺部分切除的時候,一定要對于所切除的組織進行定向,使患者在腫瘤完全切除的前提下,盡可能地保持乳腺的美觀。該協會要求每家醫院都要制定本院標準確保乳腺標本的定向。以往用于標記組織邊緣的方法并未標準化,往往通過在切除的腫物三個不同方位的邊緣放置縫線來定向。對于病理學家來講,由于所切除組織的不規則性,難以準確判定組織的方位,有資料顯示這種縫線方法會造成 31% 的病例發生錯判。
為了更好地配合病理科的工作,北京中杉金橋公司引進了美國公司生產的色標劑,用簡單的數種顏色,就可以輕松地達到定位腫瘤標本的目的。是外科手術標本定向的首選工具,歡迎垂詢!(樣品贈送,歡迎試用!)
色標劑特點:
1、天然色素,無毒無害。染色鮮艷,效果持久。
2、七種不同顏色,可以滿足組織標本切緣定向的需要。
色標劑使用方法:
1、使用前請先搖勻瓶內色標劑。
2、手術切除新鮮組織,擦拭組織表面的液體后,用木簽或竹簽沾取不同顏色后涂抹組織切緣。新鮮組織效果好于福爾馬林固定的組織。
3、應用于脂肪組織時,可用噴壺噴灑少量丙酮對組織表面進行脫脂處理,擦拭干后再使用色標劑進行染色。尤其適用于乳腺和皮下組織。
4、涂抹染料后靜置2-5min,自然晾干(無需使用吹風機等)。
5、染色后組織可用福爾馬林固定或冷凍切片。
6、使用后,應立即蓋好瓶蓋,防止色標劑干凅。色標劑干凅后則不能再使用。
7、使用多色標記組合,可將同一病例多個染色后的組織同時包埋于一個蠟塊中,將有效地降低成本、提高效率和便于鏡下觀察。

